予防歯科

〒591-8004 大阪府堺市北区蔵前町3-2-8 サンロード蔵前104

診療内容

MEDICAL

〒591-8004 大阪府堺市北区蔵前町3-2-8
サンロード蔵前104

お悩みに合わせてご相談ください

防歯科について

虫歯や歯周病にならないために日頃から予防を

これまで歯医者さんへ行くのは「歯が痛くなった時」または「虫歯の治療するために」という考え方ではありませんでしたか?
もちろん、治療医療は必要不可欠ですが治療医療のみだけ進んでしまうと、結果的に虫歯や歯周病が増え続けてしまうのが現実なのです。
これからは、しっかり予防歯科を行い、いかに虫歯で歯を削らないか、歯周病で歯を抜かないかが大切です。
虫歯や歯周病にならないために日頃から歯医者さんで管理、指導する新しい歯科医療それが予防歯科医療です。

TROUBLE

このような場合はご相談ください

  • 歯がグラグラする
  • 歯磨き時に出血がある
  • 口臭が気になる
  • 食べ物や飲み物を口にすると歯が痛む
  • 歯が黒くなっている
  • 朝起きたときに口の中が粘つく
  • 歯ぐきがやせてきた
  • 冷たいものがしみる
  • 歯の表面が白く濁っている
  • 歯に穴があいてしまった

虫歯予防

歯による4条件

虫歯は、歯の表面についた歯垢(プラーク)に、虫歯をつくるミュータンス菌が棲みつき、糖分を栄養にして酸を出します。
この酸は歯の表面の硬いエナメル質を溶かし、その部分に穴をあけます。
これが虫歯のはじまりです。

01

虫歯になりやすい質の歯

02

歯垢をつくりやすい糖分

03

虫歯菌(ミュータンス菌)

04

時間の経過

4条件を取り除く

虫歯の原因はわかっていますから、この4条件を解消することがそのまま予防につながります。
歯垢は毎日の正しいブラッシングで取り除き、セルフケアではとれない部分は歯科医院で取り除きます。
あとはあなたが、毎日の生活の中でこれら4つのリスクを減らす努力をしていけば、虫歯の引き金が絶たれ、良い結果に結びつくでしょう。
また、フッ素配合の歯磨剤を使うことにより歯の質を強くすることができます。
虫歯ができる原因を知り、予防を心がけることが大切です。
あなたの少しの努力でいつまでも健康な歯を守ることができます。

予防を行うメリット

1.お口の中を清潔に保つことができる

クリーニングでは歯垢・歯石・着色など、歯磨きでは落とせない汚れを徹底的に除去できます。クリーニングにより、虫歯・歯周病・口臭の予防し、清潔な口内環境を維持につながります。

2.病気の早期発見・早期治療

虫歯や歯周病は初期の自覚症状がほとんどありません。気づいた頃には重症化しており、治療で歯や歯ぐきにかかるダメージも大幅に増えます。定期検診を通じた予防に取り組むと、虫歯や歯周病の早期発見・早期治療・予防を効果的に実現できます。

3.生涯の治療コストを抑えられる

虫歯や歯周病は再発しやすく、治療を繰り返していると、歯を失うリスクが高まり治療費もかかります。一方、定期検診の継続では最低限の費用しかかからず、生涯必要になる治療費の大幅な削減につながります。

歯周病予防

周病とは

歯周病は放置しておくと全身疾患を引き起こす引き金にもなりかねない病気です。
また、歯を失う原因の大きな要因となっています。

「サイレント・ディジーズ」~沈黙の病気~と呼ばれる歯周病。

歯肉炎と歯周炎をあわせた歯周病には35~45歳で80%、45~55歳で88%の人がかかっているとの報告があります。
また歯肉からの出血、口臭、歯のグラグラ、歯肉の腫れ、これら全ての症状は歯周病の予備軍となりえます。
歯周病とは、歯と歯肉に近い部分についた歯垢(プラーク)の中にいる細菌によって引き起こされる病気です。
歯と歯茎の境目についた歯垢(プラーク)から、歯の根にそって歯周病菌が入り込み、歯を支えている周りの組織をじわじわと壊していき、最後には歯が抜け落ちてしまいます。
歯肉に炎症がおきた状態を『歯肉炎』、歯槽骨などを支えている組織全体が崩れてしまう病気を『歯周炎』といいます。
また、初期の歯周病はほとんど自覚症状がないため、気付かない間に悪化させてしまうことがよくあります。

周病の治療

歯周病のもっとも基本的な治療法は、プラークコントロールです。
病原性プラークを除去し、口の中のプラークを正常なレベルに維持し、無害な細菌グループが支配的になる環境を整えることが重要です。そのために通常、歯垢や歯石の除去とブラッシングの指導が行われます。

口臭

臭の原因

口臭の主な成分は、揮発性硫黄化合物(VSC)で、メチルメルカプタン、硫化水素、ジメチルサルファイドなどがあげられます。 ちなみに、人が悪臭と感じる臭いは、スカトール(尿のにおい。 アンモニア、アミン類などの窒素化合物)イソ吉草酸(靴下のムレたようなにおいや、油の腐ったような臭い)メチルシクトペンテノロン(砂糖が焦げたようなにおいや、卵が腐ったような臭い)があります。 口臭の原因となる揮発性硫黄化合物は、メチルシクトペンテノロンに含まれます。

の中の病気が原因のケース

1.歯周病

歯周病により、歯肉から血や膿が出ているときは、強い口臭の元になります。
特に、歯周病進行度が歯周ポケット(歯と歯茎の間の深さ)で4mm以上になると、他人が感じるほどの口臭が発生します。

2.虫歯

一本くらいの虫歯が口臭の原因になることは少ないですが、虫歯の穴につまった食べカスは腐敗してニオイを出します。

3.舌苔(舌の上についている白い苔)

舌苔が過剰に付着すると口臭の原因になります。
舌苔がいつも過剰に付着するのは、胃腸などのトラブルを疑ってみる必要があります。

4.唾液の異常

唾液には、細菌を殺菌したり、洗い流す効果がありますが、口の中の粘膜が炎症していたりすると唾液の力が正常に働きません。
また、最近話題になっている「ドライマウス」は口の中が乾燥して、唾液の力が働かず口臭の原因になります。ドライマウスは、口呼吸、基礎疾患、代謝異常、ビタミン不足、長期にわたる薬物の利用によって起こることがあります。

身疾患が原因のケース

臓器が悪くて起こる口臭は、臓器から排出された代謝産物が血液中に溶け込み、呼吸によって排出されることによって起こります。
このほか、高熱が出たとき、鼻炎にかかったときなど、口で息をするために唾液が渇いてしまい、一時的に口臭がきつくなることがあります。
その他、慢性胃炎や胃のただれ(臭いゲップが出ることが多い)、気管支カタルなど呼吸器系の病気、蓄膿症、慢性扁桃炎、アデノイドなど耳鼻咽喉科系の病気(口だけでなく、鼻からの息も臭う)、糖尿病(甘酸っぱい臭い)、肝臓病、腎不全、白血病、癌なども口臭を伴うことがある病気です。

臭の治療

歯周病を治療する

歯周病の治療は、口臭予防に効果的です。口臭の50%〜60%は、歯周病が原因であると言われています。

毎日のお口のお手入れ

歯磨きや、舌磨きをする。舌苔の除去は口臭治療に効果的です。

洗口剤の利用も効果がある

洗口剤自体の消臭効果は微弱ですが、歯の汚れが抑制されるので、結果として、口臭予防になります。

一人で思い悩まず、歯科医院に相談してみる

虫歯や歯周病、口腔粘膜の異常が見つかることもあります。

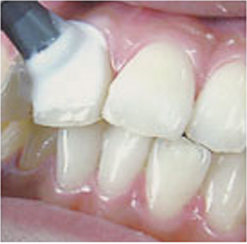
クリーニング

健康で美しい歯を保つポイント!

ームケアの充実

▶ 歯と歯ぐきとのさかい目や、歯と歯の間の汚れを念入りに落としましょう。
▶ 食生活や歯磨き習慣など生活習慣を見直しましょう。
▶ フッ素やキシリトール等を積極的に取り入れましょう。

ロフェッショナルケアを定期的に受ける

▶痛みなどがなくても、3〜4ヶ月毎に定期的に受けましょう。

□ PMTCを定期的に受けましょう

Professional Mechanical Tooth Cleaning(専門家による機械的歯面清掃)

通常の歯磨きでは落とすことができない場所、磨き残しやすい場所のバイオフィルムを徹底的に除去し、ヤニなどの着色を落とします。処置後は歯がツルツルになり、爽快感が得られます。
きれいになった歯に高濃度のフッ素等を塗布することで、歯質強化に期待できます。

また、PMTCを定期的に繰り返すことで歯の表面がすべすべになりますので、バイオフィルムが付きにくい口腔内環境を作ることができ、ホームケアもスムースになります。
その結果、「歯周病や虫歯の発症予防・進行抑制のリスクを70%減らすことができる」と報告されています。

ウダーメンテナンス

バリオスコンビPRO

バリオスコンビPROは、歯の汚れ(歯垢)や硬く固まった歯石、それらのもとになる物質(バイオフィルム)を、効率的に徹底して除去出来る機械です。
当院では超音波を用いて歯石を除去する際に、ある程度の歯の着色汚れも取り除くよう努めておりますが、歯と歯の隙間や物理的に器具が届かない場所に付着した着色汚れについては、完全に除去することが難しい場合もございました。また、金属のかぶせ物がある部分については、表面を傷める恐れがあるため、積極的に触れないこともありました。

今回導入した器材は、平均粒子径25μmの細かい粒子をエアーで吹き付けることにより、バイオフィルムの除去と着色の除去を行うことができるため、表面に傷をつける心配がなく、インプラントにも使用可能です。パウダーの主成分であるグリシンは、たとえ歯茎の中に入ってしまっても自然に溶けてなくなるため、炎症の原因物質にはならず、安心してご使用いただけます。

リーニング(PMTC)の効果

歯質の強化

研磨用のフッ化物入りペーストにより、再石灰化(カルシウム等)を促進し、歯のエナメル質を強化します。

むし歯の予防

細菌性バイオフィルムを破壊し、プラークを除去し、再付着を防ぎ、虫歯を予防します。
また、エナメル質表面へのカルシウム補給を助けます。

歯周病・歯肉炎の改善・予防

歯面から歯肉縁上ならびに、歯肉縁下1~3mmのプラークを除去することにより、歯肉の症状を改善します。また歯肉が引き締まってきますので、歯周病、歯肉炎の予防にもつながります。口臭の原因の一つである細菌をきれいに取り除くので口臭予防にも効果があります。

審美性の向上

タバコやヤニや茶シブなどの沈着した色素を取り除き、光沢のある本来の歯面に回復します。また、汚れを着きにくくします。

PMTCは自分ではできない

歯や歯の周りには、バイオフィルムと呼ばれる細菌が作った膜ができます。
バイオフィルムはうがいや通常のブラッシングでは、なかなか取り除けません。
PMTCにより専用の器械を使って取り除くのが最も効果的な方法です。
また、歯ブラシの届かない所に汚れがたまりやすくなります。
PMTCはそのような所の汚れもきれいに落とします。

クリーニングの流れ

【1】ブラッシング状態、歯、歯肉のチェック

クリーニングを始める前に、歯科医師や歯科衛生士が口腔内を確認します。歯や歯ぐきの状態、歯石の付着具合、歯周ポケットの深さ、虫歯の有無を診察します。

【2】清掃・研磨

ブラシで表裏の汚れを落とします。
・歯間を機械的に清掃
普段清掃しきれない歯と歯の間を機械的に清掃します。
・歯間を研磨する
やわらかいシリコンラバーチップで歯の裏表、歯と歯の間を研磨します。
歯の状態によってはパウダーメンテナンスを行うこともあります。
フッ素塗布を行います。

【3】洗浄

消毒薬でお口の中をキレイにし、歯肉ポケット内や歯を洗浄します。
トリートメントや舌もクリーニングします。口臭も予防します。

クリーニング(PMTC) Q&A

Q PMTCって痛みはないのですか?何分くらいかかりますか?
A 柔らかいゴムでできたカップなどを歯にあてて、回転させることにより汚れを取り除きますので、痛みを伴うことはありません。
お口の中の状態にもよりますが、トータル30分程度の治療です。
歯の状態によってはバリオスコンビPROを用いてパウダーメンテナンスを行うこともあります。
Q むし歯予防にも効果はありますか?
A 新しいむし歯の発生を抑えることができます。また、PMTCを定期的に受け続けた人とそうでない人では6年間で1.4mmの歯肉の変化がみられるという報告もあります。
歯周病の進行を食い止める効果があります。
Q PMTCを受ければ歯みがきはしなくていいのですか?
A いいえ。毎日の歯みがきは絶対必要です。
歯の健康はPMTCとセルフケアとの両立で維持することができるのです。
Q どれくらいの間隔で行うのですか?
A 人によって歯や歯ぐきの強さ、細菌の状態、着色の程度などが異なるのでさまざまですが、一般的には3~6ヶ月に1度の割合で行います。
Q 子どもにも必要ですか?
A 子供でも行ったほうがもちろん効果があります。いくつでも早すぎる、遅すぎるということはありません。いつから始めても一定の予防効果が期待できます。

〒591-8004 大阪府堺市北区蔵前町3-2-8
 サンロード蔵前104

診療時間
09:00~13:00 × × ×
15:00〜20:00 × × ×
15:00〜18:00 × × ×
  • ページの先頭へ
上部へスクロール